Spring Sale Limited Time 70% Discount Offer - Ends in 0d 00h 00m 00s - Coupon code = simple70

Pass the ARDMS RDCS AE-Adult-Echocardiography Questions and answers with Dumpstech

Exam AE-Adult-Echocardiography Premium Access

View all detail and faqs for the AE-Adult-Echocardiography exam

Practice at least 50% of the questions to maximize your chances of passing.
Viewing page 1 out of 5 pages
Viewing questions 1-10 out of questions
Questions # 1:

Which condition is most likely suggested by an apically sparing "cherry on top" left ventricular strain pattern?

Options:

A.

Athlete's heart

B.

Amyloidosis

C.

Hypertension

D.

Hypertrophic cardiomyopathy

Questions # 2:

Which adjustment will improve the frame rate?

Options:

A.

Narrow sector width

B.

Decrease overall gain

C.

Increase dynamic range

D.

Increase transducer frequency

Questions # 3:

What is the normal dP/dt value of left ventricular systolic function?

Options:

A.

400-799 mmHg/s

B.

800-1199 mmHg/s

C.

Less than 400 mmHg/s

D.

Greater than 1200 mmHg/s

Questions # 4:

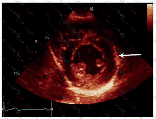
Which left ventricular regional wall segment is indicated by the arrow on this image?

Question # 4

Options:

A.

Anterior

B.

Anterolateral

C.

Inferior

D.

Inferolateral

Questions # 5:

Which of the following is a feature of constrictive pericarditis?

Options:

A.

Mitral inflow pattern has a large E-wave and a small A-wave without respiratory changes

B.

Normal hepatic vein size

C.

Dilated inferior vena cava with inspiratory collapse during sniff test

D.

Interventricular septal bounce

Questions # 6:

What is a normal response to dobutamine stress testing?

Options:

A.

An increase in left ventricular cavity size and an increase in systolic blood pressure

B.

An increase in left ventricular cavity size and a decrease in systolic blood pressure

C.

A decrease in left ventricular cavity size and a decrease in systolic blood pressure

D.

A decrease in left ventricular cavity size and an increase in systolic blood pressure

Questions # 7:

Which of the following conditions will increase in seventy with Valsalva maneuver?

Options:

A.

Aortic valve stenosis

B.

Aortic valve regurgitation

C.

Mitral valve regurgitation

D.

Hypertrophic obstructive cardiomyopathy

Questions # 8:

A patient presents in the emergency room with a history of chronic high Wood pressure and new onset severe back pain. A physical exam reveals a new diastolic murmur. Which would be the most likely finding?

Options:

A.

Aortic aneurysm

B.

Aortic dissection

C.

Left ventricular rupture

D.

Ruptured papillary muscle

Questions # 9:

A patient with a ventricular septal defect, an atrial septal defect, and a cleft mitral valve is likely to have which abnormality?

Options:

A.

Atrioventricular canal defect

B.

Ebstein anomaly

C.

Marfan syndrome

D.

Shone syndrome

Questions # 10:

Which maneuver aids in uncovering potential diastolic dysfunction while performing pulsed wave Doppler of the mitral valve?

Options:

A.

Valsalva

B.

Hand grip

C.

Leg air cycling

D.

Squatting

Viewing page 1 out of 5 pages
Viewing questions 1-10 out of questions